Department of Dermatology, Venereology and Allergology, University Medical Center, Ruprecht-Karls-University, Im Neuenheimer Feld 440, DE-69120 Heidelberg, Germany. E-mail: ferdinand.toberer@med.uni-heidelberg.de
A 74-year-old man presented with several weeks’ history of multiple cutaneous nodules and plaques on his right leg (Fig. 1a). Histopathology revealed infiltrating epithelioid, hyperchromatic and pleomorphic tumour cells, mainly arranged in strands. In addition, there were areas of bony trabeculae rimmed by neoplastic cells (Fig. 1b). Ten months previously the patient had been diagnosed with an ulcerated acral lentiginous melanoma of his right hallux, measuring 14 mm in depth. Amputation of the hallux and inguinal lymph node dissection were performed as the sentinel lymph node was positive.
Fig. 1. (a) Right thigh with multiple cutaneous nodules and plaques. (b) Punch biopsy of the nodules revealing areas with bony trabeculae rimmed by neoplastic cells (haematoxylin-eosin, original magnification ×100).
What is your diagnosis? See next page for answer.
Acta Derm Venereol 2017
Diagnosis: Osteogenic cutaneous metastases in malignant melanoma
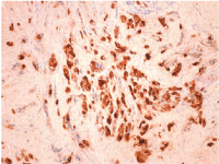
The tumour cells were positive for S-100 protein and negative for melan-A, human melanoma black-45 (HMB-45) and CD 99 (Fig. 2). Osteogenic melanoma (OM) is a very rare variant of melanoma first reported in 1984 (1). Urmacher described bone formation in a recurrent desmoplastic melanoma from the retroauricular area (1). There have been fewer than 30 cases of OM reported to date, the vast majority of them in acral skin (2). Subungueal localization is common and there is no sex predilection (2). Histologically different osteoid patterns may occur, including large sheets of reticulated matrix, trabeculae, islands rimmed by malignant cells and delicate foci of lace-like osteoid matrix within sheets of tumour cells (3).
Fig. 2. Expression of S-100 protein in neoplastic cells (original magnification ×200).
Melanoma cells are able to differentiate into mesenchymal, rhabdoid, neuroblastic, neuroendocrine, osteocartilaginous, Schwann cell and other components (4). Nevertheless osteogenic differentiation is rarely seen in melanoma. The exact mechanism of osteogenic metaplasia in melanoma remains unclear. There are different theories regarding this phenomenon. One theory explains osteoid formation as a response to prior trauma, such as previous re-sectioning (2, 5). As various OMs are seen in de novo lesions this theory is questionable. Another theory suggests the induction of a pseudosarcomatous proliferation by neoplastic cells in the adjacent stroma with subsequent ossification (2). From et al. observed direct intracellular production of collagen fibers by desmoplastic melanoma cells using electron microscopy (6). Therefore they stated that neoplastic cells themselves undergo mesenchymal metaplasia.
Osteogenic transformation may occur in several benign and malignant skin tumours (2). Benign conditions with osteogenic metaplasia that mimic malignant neoplasms include myositis ossificans, bizarre parosteal osteocartilaginous proliferation, atypical exostosis and fibro-osseous pseudotumour of the digits (2). Osteosarcoma (OS) is the most important differential diagnosis for OM among malignant neoplasms, as these entities share several histological features (2). Absence of primary bone involvement, distal extremity location and lymph node metastases are clinical features favouring OM over OS (2). Further differential diagnoses include extraskeletal myxoid chondrosarcoma and malignant myoepithelioma (3). In the present case the histopathology of the primary tumour, the clinical course, and immunohistochemistry clearly support the diagnosis of osteogenic skin metastases of malignant melanoma. As there are only a few reported cases of OM, the prognostic impact of osteogenic metaplasia remains unclear. Lucas pointed out, that several cases of OM did not differ from conventional melanoma with regard to the clinical course (4). Nevertheless, further studies on this entity are necessary to shed more light on its biological behaviour.
To the best of our knowledge only 2 out of 27 cases summarized by Trevisan et al. represented metastases, whereas most cases were primary melanomas (2). Dermatologists should be familiar with this uncommon entity and its differential diagnoses in order to initiate the correct therapeutic approach.
