Department of Dermatology, Venereology and Allergology, University Medical Center Leipzig, Leipzig, Germany. E-mail: Benjamin.klein@ medizin.uni-leipzig.de
A 59-year-old non-atopic man presented at our university dermatology department with annular configurated blisters and scattered crusts with erythematous edges on his forearms and dorsum of the hands since one week (Fig. 1). He also had a singular erosion on his right ear with unknown onset and a slightly hyperpigmented skin. Furthermore, some isolated atrophic scars were present on the dorsum of the hands. He reported similar skin lesions one month previously, at that time acute contact dermatitis after use of topical disinfectant was suspected. He was a heavy smoker and reported daily alcohol consumption of 3 beers. There was no history of fatigue, fever, pain, intensive exposure to the sun, or any systemic medication.
Histology revealed superficial, perivascular, eosinophil and neutrophil dermatitis with subepidermal blistering. Perilesional direct immunofluorescence staining showed deposition of C3c (Fig. 2) and IgG at the dermo–epidermal junction. Serology was negative for antibodies against BP180, BP230, collagen VII, gliadin and transglutaminase. Antinuclear antibody (ANA) titre was 1:160 without relevant subtyping. Liver enzymes were elevated: alanine aminotransferase (ALAT) (2.81 µkat/l ++, normal range 0.17–0.85), aspartate aminotransferase (ASAT) (1.95 µkat/l ++, normal range 0.17–0.85) and gamma-glutamyl transferase (γGT) (3.43 µkat/l ++, normal range 0.17–1.19) and there were serologic signs of iron overload with elevated ferritin > 1,000 ng/ml (normal range 30–400), transferrin saturation 55.9% (normal range 2–40) and iron 30.9 µmol/l (normal range 9.5–29.9). Serology was negative or unsuspicious for hepatitis A, B, C, E, Epstein-Barr virus, cytomegalo-virus and HIV.
What is your diagnosis? See next page for answer.
Fig. 1. Clinical photograph. Blisters, erosions and scars on the dorsum of the hands and forearms. Circled: bulging blister.
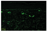
Fig. 2. Perilesional direct immunofluorescence. Direct immunofluorescence of C3c deposits in the dermoepidermal junction and the vascular wall. Original magnification ×100.
Acta Derm Venereol 2021; 101: adv00533.
Diagnosis: Porphyria cutanea tarda
Twenty-four-hour urine analysis showed elevated levels of total porphyrins (3,645 nmol/g creatinine (< 250)) with predominant carboxylated porphyrins (uroporphyrin 1,782 nmol/g creatinine (< 38.3), heptaporphyrin 1,130 nmol/g creatinine (< 12)) and uro-/coproporphyrin-ratio of 8 (0.05–0.5) with normal precursor porphyrins (5-ALA, porphobilinogen). Genetic analysis in suspicion of haemochromatosis showed no associated mutations. Hence, we diagnosed sporadic porphyria cutanea tarda (PCT) and started treatment with low-dose hydroxychloroquine twice weekly, which led to clear improvement of skin lesions within one month. The patient was advised to avoid ultraviolet (UV) exposure, as well as alcohol and tobacco use, and no onset of new skin lesions was observed during three months. Liver enzymes and iron overload also improved. As there was no concomitant haemochromatosis, iron overload declined after cessation of tobacco and alcohol use as well as treatment with hydroxychloroquine. In the further course, the current patient developed milia in the affected areas of annular blisters.
PCT, the most common type of porphyria, is a rare hepatocutaneous disease with a global prevalence of 1 per 10,000 individuals (1, 2). The common age of presentation is the 5th to 6th decade of life, and it is slightly more common in males (2). Pathophysiologically, there is a deficiency of uroporphyrinogen-decarboxylase (UROD), which leads to accumulation of carboxylated porphyrins (uroporphyrin, heptacarboxyporphyrin), further contributing to skin symptoms. A loss-of-function mutation of this enzyme is present in the minority of cases and not essential for clinical onset (1). Susceptibility factors, such as alcohol consumption, tobacco use (earlier onset compared with non-smoking individuals), hepatitis, HIV, oestrogen use (female patients) or haemochromatosis, result in iron overload and generation of uroporphomethene by iron-dependent oxidation. This metabolic intermediate inhibits UROD (1), leading to acquired deficiency of this enzyme. Accumulation of carboxylated hydrophilic porphyrins in the dermo-epidermal junction (DEJ) zone and sunlight-dependent generation of reactive oxygen species (singlet oxygen) further drive tissue damage, activation of complement and matrix metalloproteinases (3).
Cutaneous symptoms include skin fragility, scarring blisters, erosions on UV-exposed skin, and patients may present with hypertrichosis, sclerodermiform plaques and scarring alopecia (1). In our patient, the symptom onset was very acute, whereby it should be noted that he had had similar symptoms one month previously, which were possibly misdiagnosed as contact eczema. Early symptoms of PCT include erythema in sun-exposed areas, scattered vesicles and isolated scars (2).
Diagnosis of PCT is made by urine analysis of carboxylated porphyrins, while delta-aminolaevulinic acid and porphobilinogen are normal or minimally elevated (1). Screening for associated diseases (viral hepatitis, HIV and haemochromatosis) should be performed. Histopathological examination often shows subepidermal blistering with a slight inflammatory infiltrate containing eosinophils (2). Observational studies of direct immunofluorescence exhibit possible deposition of C3c, fibrinogen and immunoglobulins (IgA, IgM and IgG) at the DEJ and on the inside and walls of blood vessels, depending on the disease activity (4). C3c-deposition has been associated with active PCT without treatment (4), which is represented in this case. Complement activation is thought to be directly induced by reactive oxygen species and UV light (4, 5).
Differential diagnoses include autoimmune blistering diseases, mainly those of scarring character, such as epidermolysis bullosa acquisita, can show similar clinical and histopathological signs. In this case the patient shows annular blisters with almost targetoid-like appearance; hence, further differential diagnosis include linear IgA dermatosis, bullous lupus, bullous erythema multiforme and bullous pemphigoid. Normal urine porphyrins and the presence of specific serological autoantibodies, as well as different histological features, should allow differentiation from PCT (2, 4, 6). Pseudoporphyria is another differential diagnosis. It is caused by several medications, including non-steroidal anti-inflammatory drugs, leading to similar skin eruptions in UV-light exposed skin, while porphyrin analysis is within the normal range (7). Treatment of patients with PCT aims at reduction of iron overload, mainly by avoiding predisposing factors. In addition, antimalarials, i.e. low-dose hydroxychloroquine, should be used, which leads to hepatic porphyrin mobilization and subsequent urinary excretion (1, 8). Additional or exclusive phlebotomy may also induce PCT remission, mainly in patients with genetic haemochromatosis (1). In case reports, patients with HCV or HIV showed complete resolution of skin symptoms under antiviral therapy (1, 9). Due to the higher mortality of patients with PCT, correct diagnosis at the onset of cutaneous symptoms and treatment of associated disorders are of major importance (10).
We acknowledge support from Leipzig University for Open Access Publishing.
The authors have no conflicts of interest to declare
