1Department of Dermatology, Hospital Ramón y Cajal, ES-28049 Madrid, Spain, 2Skin Cancer Unit, Arcispedale Santa Maria Nuova IRCCS, Reggio Emilia, 3Dermatology Unit, Second University of Naples, Naples, 4Department of Dermatology, University of Modena and Reggio Emilia, Modena, 5Department of Anesthesiology, Surgery and Emergency, Second University of Naples, Naples, Italy, and 6Department of Dermatology, Medical University of Graz, Graz, Austria. E-mail: marta.urech@gmail.com
Accepted May 16, 2016; Epub ahead of print May 27, 2106
Imiquimod is considered one of the treatments of choice for low-risk superficial basal cell carcinoma (sBCC) and an alternative option for non-superficial tumours when surgery is contraindicated or not feasible (1–3).
In addition to its well-known value in the diagnosis of BCC, dermoscopy has recently been shown to provide valid information about the histopathological subtype or the presence of clinically undetectable pigmentation (4–6). The aim of the present study was to investigate whether dermoscopic criteria (especially ulceration) of the primary tumour can predict a favourable response of BCC to imiquimod.
This was a retrospective study conducted in a referral unit for skin cancer diagnosis and management. Inclusion criteria were: (i) availability of clinical and dermoscopic images of the lesion before treatment; (ii) a complete treatment cycle of imiquimod 5%, 5 days per week for 6 weeks; (iii) available medical records of the post-treatment follow-up visit conducted one month after the end of treatment; and (iv) available medical records of the follow-up visit conducted one year after the end of treatment for lesions assessed as completely healed.
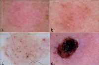
Patients’ data and the anatomical sites of the lesions were recorded. The dermoscopic images were evaluated by 2 independent investigators (MU and AL) and a third investigator (GA) was involved in cases of disagreement. Selection of dermoscopic criteria to be evaluated was based on the available literature and on our primary hypothesis that ulceration might represent a predictor of response to imiquimod. In our analysis, the presence of erosions/ulceration was included as a categorical variable with the following possible values: 0 (no erosions/ulceration), 1 (solitary small erosion), 2 (multiple small erosions) and 3 (large ulceration) (Fig. 1).
Fig. 1. Examples of dermoscopic ulceration visualized at ×?10 magnification (DermLite Foto). a) absent; b) single, small erosion; c) multiple, small erosions; d) large ulceration.
The treatment outcome was recorded after a single cycle of imiquimod, as evaluated at the post-treatment visit. For completely responding BCCs, the report of the visit conducted one year after the end of treatment was recorded.
Both patients and lesions were used as units of analysis, and correlations between patients and lesions were examined to compensate for possible data clustering (7). Parametric or non-parametric tests were used, following normality explorations. Collinearity was assessed (Spearman’s rho coefficient). Relative risks were calculated for all dichotomous variables. Categorical pseudo-variables were coded for categorical variables. Crude and adjusted odds ratios (OR; with 95% confidence intervals [CI]) were calculated by univariate and conditional multivariate logistic regression, respectively. The type I error probability associated with all tests was set at <?0.05. All statistical calculations were made with SPSS 22.0 (IBM SPSS, USA).
A total of 134 lesions from 85 patients were included. The majority of BCCs (115/134, 85.8%) were diagnosed clinically and/or dermoscopically, whereas 19 lesions (14.2%) were diagnosed histopathologically. The mean follow-up period after the end of treatment was 12.5 months, ranging between one month (for not completely responding tumours) and 56 months. The most common lesion location was the head and neck (105/134, 78.4%), followed by the trunk (28/134, 20.9%) and the extremities (1/134, 0.7%).
At the post-treatment evaluation visit, 83 of 134 (61.9%) BCCs were assessed as having responded completely, since all the clinical and dermoscopic criteria of BCC had disappeared. Indeed, none of these tumours recurred during the 1-year follow-up period. Of the remaining lesions, 14 (10.4%) were assessed as having responded partially, 20 (14.9%) as non-responding, and in 14 lesions (10.4%) the assessment was not conclusive.
The response to treatment was found to correlate with the anatomical site of the trunk (r = –0.302, p < 0.001) and with the presence of dermoscopic ulceration (r = –0.297, p = 0.001). In detail, the presence of a solitary small erosion posed a 7-fold higher probability for complete response (OR 7.00, 95% CI: 1.25–39.15, p = 0.027), the presence of multiple small erosions posed a 38-fold higher odd for complete response (OR 38.89, 95% CI: 7.52–201.04, p < 0.001) and the presence of large ulceration was associated with an 8-fold increased probability for complete response (OR 8.17, 95% CI: 1.63–40.85, p = 0.011) (Fig. S11). This effect of ulceration was further amplified in the multivariate adjusted model, as shown in Table I.
Imiquimod is an attractive modality routinely used in the everyday practice to treat BCC. Its cost-effectiveness has been assessed as superior to surgery (2), which becomes particularly relevant in the light of evidence suggesting that non-melanoma skin cancer is among the 5 most costly cancers (8). However, the response rates of BCC to imiquimod have been reported to vary significantly, namely from 65% to 100% (9–11). Our findings suggest that dermoscopy could provide an indication of the possibility of response to imiquimod, thus optimizing the utility of the drug.
The finding that multiple small erosions represent the strongest predictor of response to imiquimod can probably be explained by the fact that this dermoscopic criterion is commonly seen in superficial tumours (5, 12–14). However, large ulceration, although predictive of non-superficial subtypes (5, 12–14), was also found to predict a favourable response. Indeed, the multivariate analysis revealed that the presence of ulceration was a potent predictor of response to imiquimod irrespective of the subtype, suggesting that ulceration predicts a favourable response both for superficial and non-superficial BCCs.
This study has several limitations. First, the retrospective design is subject to evaluation bias. To address this limitation, the evaluation of dermoscopic images was performed by 2 independent investigators who were blinded for treatment outcome. Secondly, the pre-operative diagnosis and the post-treatment outcome were not histopathologically confirmed. However, a recent study (15) showed that the post-treatment detection of BCC-related criteria is absolutely predictive of residual disease. Similarly, the same study suggested that the absence of any BCC-related dermoscopic criterion can safely predict a complete clearance of BCC after imiquimod therapy. Indeed, none of the tumours assessed as completely healed at post-treatment evaluation recurred during one year of follow-up. However, we still cannot rule out that some of the tumours may recur later.
In conclusion, the results of this study suggest that the dermoscopic detection of erosions or ulceration in BCC represents a strong predictor of favourable response to imiquimod. The results might help clinicians to better select BCCs to be treated with imiquimod, thus optimizing the utility of this modality in everyday practice.
The authors declare no conflicts of interest.
