Department of Dermatology, Sahlgrenska University Hospital, SE-413 45 Gothenburg, Sweden. E-mail: sam.polesie@vgregion.se
Accepted May 16, 2016; Epub ahead of print May 27, 2016
Generalized pustular psoriasis (GPP) is a rare and potentially severe form of psoriasis that can be challenging to treat. Inpatient care may be necessary. GPP is a neutrophilic dermatosis and is traditionally classified as a variant of psoriasis. However, evidence suggests that genetic factors distinct from those associated with chronic plaque psoriasis contribute to GPP. In particular, mutations in the IL36RN gene, which encodes the interleukin-36 receptor antagonist (IL-36Ra), an anti-inflammatory cytokine in the IL-1 family that inhibits proinflammatory signal pathways by preventing the binding of IL-36 to its receptor, have been detected in some patients with GPP (1, 2). Traditionally this form of pustular psoriasis has been treated with acitretin or methotrexate, which still comprise the first-line treatments.
Recently a novel biological treatment, secukinumab (Cosentyx®, Novartis), was introduced for treatment of moderate-to-severe psoriasis vulgaris (3). Secukinumab is a human monoclonal antibody that inhibits IL-17A, which constitutes an important inflammatory pathway in psoriasis pathogenesis. Recently secukinumab has proven efficient for psoriatic arthritis (4).
A 44-year-old man (in January 2016), had had psoriasis vulgaris since the age of 4 years. His brother had psoriasis but no other relatives. Since the age of 8 years his psoriasis converted to GPP. He was not known to have psoriasis arthritis. For years the disease was treated with acitretin with adequate disease control. However, the treatment was terminated in summer 2013 due to increased liver transaminases, and methotrexate treatment was regarded unsuitable. Inflammatory disease and tumours of the liver were excluded by ultrasound and computer tomography. Since the liver transaminases were normalized, liver biopsies were not obtained. Frequent exacerbations of GPP followed and, from September 2013 to spring 2015, the patient had numerous admissions to the dermatological clinic, the infectious clinic, as well as the intensive care unit, for short periods at Sahlgrenska University Hospital (Fig. 1). Biopsies were taken to verify the diagnosis (Fig. 2). Genetic tests were not conducted.
Fig. 1. Disease activity during an exacerbation of generalized pustular psoriasis.
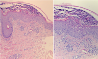
Fig. 2. Pathohistological findings. Biopsy illustrating psoriasiform acanthosis and multifocal, spongiform pustules and intracorneal pustules with an extensive infiltration of neutrophilic granulocytes, compatible with pustular psoriasis. (H&E staining. Left × 10, right × 20).
Treatment with cyclosporine, prednisolone, etanercept, anakinra and ustekinumab followed with unsatisfactory result and weekly to monthly exacerbations in addition to intolerable side-effects, such as nausea from cyclosporine despite anti-emetics. Furthermore, his psoriasis was complicated with liver steatosis, hypercholesterolemia and infections.
In May 2015 after secukinumab was introduced in Sweden, the patient was discussed at a national dermatology forum and it was agreed to try secukinumab as an off-label indication. Before onset the patient was informed and consented to off-label treatment. Treatment was started on 1 June 2015 and resulted in clearance of symptoms and remission of disease after approximately 3 weeks. The patient is currently doing well and has returned to work. He administers 300 mg secukinumab monthly. By the end of the month, some days before every new dose, he experiences some recurrence of pustules; however, after renewed administration he is clear of disease. A higher dose or shorter interval for secukinumab administration has been discussed, but has currently not been effectuated.
To our knowledge this is only the second published case report of patient with chronic GPP being treated with secukinumab. Recently a publication by Böhner et al. demonstrated a rapid clinical response in a patient with an exacerbation (5). Our patient has had ongoing treatment for 9 months (in January 2016) and is still in clinical remission. Further studies and, ideally, randomized double-blinded controlled trials should be conducted. However, the rarity of GPP might constitute a challenge for patient recruitment.
Finally, it would be of interest to investigate whether secukinumab might prove efficient in other neutrophilic dermatosis, such as pyoderma gangrenosum refractory to conventional treatment, given that concurrent inflammatory bowel disease, particularly Crohn’s disease, is excluded since it is known that secukinumab might trigger exacerbations.
The patient has approved publication of this case report and has consented to publication of clinical images.
Conflict of interests: AGL has a consolatory agreement with Novartis.
