1Division of Hematology and Rheumatology, 2Division of Cutaneous Science, Department of Dermatology, and 3Division of Laboratory Medicine, Department of Pathology and Microbiology, Nihon University School of Medicine, Tokyo, Japan. *E-mails: fujita.hideki@nihon-u.ac.jp and takahashi.hiromichi@nihon-u.ac.jp
Accepted Sep 10, 2019; E-published Sep 10, 2019
Peripheral T-cell lymphoma, not otherwise specified (PTCL, NOS), is a sub-type of lymphoma composed of all the PTCLs that cannot be characterized into any other established sub-types (1). Patients with primary cutaneous PTCL, NOS are commonly adults presenting with solitary, localized or, more frequently, generalized nodules or tumours with no site predilection. The prognosis of PTCL, NOS is generally poor, with a median 5-year survival rate of less than 20% (2). The expression pattern of cell surface antigens has been investigated in association with disease outcome in PTCL, NOS (3). In particular, chemokine receptor expression patterns are gaining much attention as prognostic markers.
We report here a case of aggressive primary cutaneous PTCL, NOS with CD4–/CD8–, CD45RA+, CXCR3+, and CCR4–/10– phenotype showing a very aggressive course.
A 73-year-old Japanese man presented with a 2-month history of generalized plaques and nodules on the skin. At initial visit, physical examination revealed multiple erythematous plaques and reddish nodules on his trunk (Fig. 1) and extremities. His lower legs were swollen, with haemorrhagic ulceration (Fig. S1). No superficial lymph nodes were enlarged.
Fig. 1. Clinical photographs at initial visit. Indurated plaques, erythema and tumours on the trunk.
Laboratory investigations indicated a normal lactate dehydrogenase level, low serum albumin level, and mild polymorphonuclear leukocytosis with no peripheral atypical cells. Anti-human T-cell leukaemia virus type-1 antibody was negative.
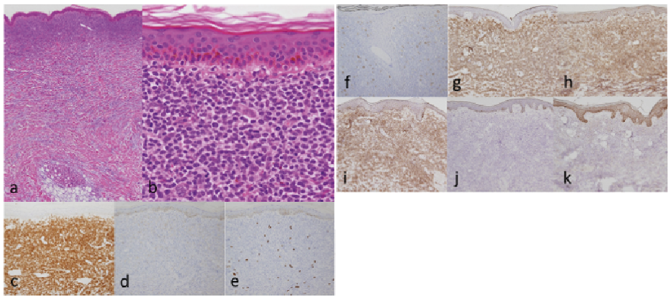
Skin biopsy specimen obtained from a plaque on the abdomen showed diffuse and dense infiltrate of small-sized atypical lymphoid cells in the dermis without epidermotropism (Fig. 2a, b). Immunohistochemical study revealed that the atypical lympho-cytes were CD3+CD4–CD5+CD8–CD56–CD45RA+CD45RO–TCRαβ+TCRγδ–EBER–granzyme B– (Fig. 2c–h and Fig. S2a–f). The expression profile of chemokine receptors was CXCR3+CCR4–CCR10– (Fig. 2i–k). Approximately 80% of the tumour cells expressed Ki-67 (Fig. S2g).
PCR and Southern blotting analyses revealed clonal T-cell receptor Cβ rearrangement in the biopsy specimen. The karyotype of the biopsy sample was examined using G-banding method, and there were many unspecific complicated chromosomal aberrancies.
No extracutaneous lesions were detected by thoraco-abdomino-pelvic computed tomography and bone marrow aspiration and biopsy. Based on these clinical and histopathological findings, a diagnosis of primary cutaneous PTCL, NOS was made.
Treatment with oral vorinostat, at a dose of 400 mg/day, was initiated, which was reduced to 250 mg/day thereafter because of thrombocytopaenia. Although clearance of approximately 75% of the skin lesions was achieved, the disease progressed rapidly to terminal leukaemic manifestation, and the patient died due to sepsis 60 days after the initial visit.
Fig. 2. Histopathology and immunohistochemistry of the biopsy specimen from the erythematous plaque on the abdomen. (a) Dense lymphocytic infiltration in the whole dermis and subcutaneous fat (haematoxylin and eosin; H&E ×40). (b) Small atypical cells did not show epidermotropism (H&E ×400). Immunohistochemical staining for: (c) CD3, (d) CD4, (e) CD8, (f) CD56, (g) CD45RA, (h) TCRαβ, (i) CXCR3, (j) CCR4, and (k) CCR10 (×200).
The expression of certain cell surface antigens is reported to be associated with disease outcome in PTCL, NOS (3). Bekkenk et al. (4) analysed 82 patients with PTCL, unspecified presenting in the skin for the expression patterns of CD4 and CD8 and found that tumour phenotype according to the expression of CD4 and CD8 did not have prognostic impact on the whole. Therefore, CD4/8-double negative pattern in our case might be merely a tumour phenotype that does not have prognostic significance. Clinical significance of CD4/8-double negative phenotype in PTCL, NOS is yet to be determined.
CD45RA expression might be associated with disease prognosis. CD45RA expression has been reported in γ/δ T-cell lymphomas, primary cutaneous aggressive epidermotropic CD8+ cytotoxic T-cell lymphomas, which usually show poor prognosis (1, 5). On the other hand, in cases of mycosis fungoides, rare CD45RA+ phenotype does not seem to be related to poor prognosis compared with classic CD45RO+ cases (5). However, clinical impact of CD45RA expression in PTCL, NOS is currently unknown.
There are more recent studies focusing on the relation-ship between the expression of chemokine receptors, such as CCR4, CCR10, and CXCR3 and disease prognosis (3, 6–10). In terms of CCR4 and CXCR3 expression patterns, the results are inconsistent. Asano and colleagues reported that, among CXCR3+CCR4– type, expression of cytotoxic molecules led to more aggressive behaviour (6), but our case was negative for granzyme B. CCR10 represents a marker of memory T-cell subsets with skin-homing capacity (9), and its expression has been described previously in tumour cells of cutaneous T-cell lymphoma, including mycosis fungoides and Sézary syndrome (11, 12). The higher tendency of PTCL, NOS lymphoid cells to display extracutaneous dissemination is proposed to be ascribed to loss of affinity of these cells for the cutaneous microenvironment due to low expression of CCR10 (9). Indeed, CCR10 expression in PTCL, NOS is much lower than that of primary cutaneous anaplastic large cell lymphoma, usually with good prognosis (9). In line with this idea, the current case was CCR10– and showed a very aggressive course with terminal leukaemic manifestation.
Finally, high expression of cell proliferation marker Ki-67 should also contribute to the aggressive course in our patient, because PTCL, NOS showing Ki-67 expression > 80% is reported to herald a worse prognosis (13).
In summary, the CCR10– phenotype with high Ki-67 expression in the current case may contribute to the aggressive clinical behaviour. Further studies are required to elucidate the significance of chemokine receptor expression patterns, in particular CCR10, for the prognosis in primary cutaneous PTCL, NOS.
The authors thank Dr Makoto Sugaya, Department of Dermatology, Faculty of Medicine, University of Tokyo, for immunohistochemical staining.
The authors have no conflicts of interest to declare.
