1Department of Medicine of Sensory and Motor Organs, Division of Dermatology, Faculty of Medicine, Tottori University, 86 Nishi-Cho, Yonago, Tottori 683-8503, 2Department of Pathology and Oncology, School of Medicine, University of Occupational and Environmental Health, Kitakyushu, and 3Division of Dermatology, National Hospital Organization Hamada Medical Center, Japan. E-mail: higaki.h@tottori-u.ac.jp
Accepted May 26, 2020; Epub ahead of print Jun 3, 2020
Acta Derm Venereol 2020; 100: adv00180
Lipofibromatosis-like neural tumour is rare soft-tissue tumour, first described by Agaram et al. in 2016 (1). The tumour is composed of CD34-positive spindle cells with an infiltrative growth pattern similar to that of lipofibromatosis. The features that differentiate this tumour from lipofibromatosis are S-100 protein expression and positive neurotrophic tyrosine kinase receptor 1 (NTRK1) gene rearrangement. The most common NTRK1 fusion partner is the Lamin A/C (LMNA) gene (1). We report here an infant case of lipofibromatosis-like neural tumour in which electron microscopic observation was performed for the first time.
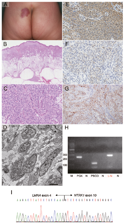
A 6-month-old boy was referred to us for examination of a tumour on his left buttock. The lesion was first noted at 4 months of age. On physical examination, the tumour was firm, red and 3×4 cm in diameter (Fig. 1a). Histopathological examination revealed a poorly circumscribed tumour composed of spindle cells (Fig. 1b). The cells were arranged in a disorderly manner and had diffusely infiltrated the dermis and subcutaneous tissue with no necrosis or haemorrhage (Fig. 1c). The tumour cells showed only mild atypia, and mitotic figures were rarely seen. Ultrastructurally, the tumour cells had deeply convoluted nuclei and well-developed organelles, closely similar to those of dermatofibrosarcoma protuberans (DFSP) (Fig. 1d). Immunohistochemically, the tumour cells were positive for CD34 and moderately positive for S-100 protein (Fig. 1e, f), but negative for α-smooth muscle actin (SMA), SOX10, CD68, Bcl-2, CD99, desmin, c-kit and neurofilament. Pan-tropomyosin receptor kinase (TRK) showed diffuse cytoplasmic positivity within spindle cells (Fig. 1g). The fraction of Ki-67-positive tumour cells was 11% (not shown). Reverse transcription (RT) PCR assay showed LMNA-NTRK1 fusion transcripts (Fig. 1h). The fusion transcript was confirmed by Sanger sequencing (Fig. 1i). On the other hand, RT-PCR assay for collagen type1α1 (COL1A1)/platelet-derived growth factor B-chain (PDGFB) fusion transcripts was negative (not shown). Based on these findings, we diagnosed the tumour as lipofibromatosis-like neural tumour. The lesion was excised with 1-cm margins. No evidence of recurrence or metastasis has been found for 15 months.
Fig. 1. (a) Clinical appearance of the tumour on the left buttock. (b) A poorly circumscribed lesion with an infiltrative growth pattern (haematoxylin-eosin (HE), original magnification × 10). (c) Proliferation of spindle cells arranged in a disorderly manner (HE, original magnification × 200). (d) Ultrastructural features. Tumour cells with highly lobulated nuclei (scale bar: 5 μm). (e) Strong to moderate diffuse cytoplasmic expression of CD34 (original magnification × 200). (f) Weak multifocal cytoplasmic expression of S-100 protein (original magnification × 200). (g) Moderate diffuse cytoplasmic expression of pan-TRK (original magnification × 100). (h) Reverse transcription-polymerase chain reaction for detection of LMNA-NTRK1 fusion transcripts. M, molecular size marker; N, negative control (distilled water); L-N, LMNA-NTRK1 primer (282 bp); PBGD, porphobilinogen deaminase (127 bp); PGK, phosphoglycerate kinase (247 bp). (i) Confirmation of the fusion junction by Sanger sequencing.
Lipofibromatosis-like neural tumour mainly occurs on the trunk and extremities of children and young adults. The main differential diagnoses of the lesion include DFSP, infantile fibrosarcoma, low-grade malignant peripheral nerve sheath tumour (MPNST), fibrous hamartoma of infancy and lipofibromatosis (Table I). DFSP rarely arises in children: patients younger than 16 years account for 6% of the tumours (2). DFSP is typically composed of CD34-positive and S-100 protein-negative spindle cells in a storiform pattern. However, early-stage DFSP, such as congenital case may lack typical pathological features (3). The COL1A1-PDGFB fusion transcript was detected in children, as well as in adults and helpful in the diagnosis (2). Infantile fibrosarcoma is composed of spindled cells arranged in fascicles or a herringbone pattern and often shows increased mitotic figures, haemorrhage and necrosis. Low-grade MPNST occurs mainly in adult patients with neurofibromatosis type 1 associated with plexiform neurofibroma. The tumour cells often express S-100 protein and SOX10. Fibrous hamartoma of infancy is histologically characterized by 3 components: α-SMA-positive fibroblastic area, loosely textured areas chiefly consisting of immature cells, and adipose tissue. Lipofibromatosis is locally aggressive soft tissue tumour with a predilection for infants and children. The tumour is composed of spindle tumour cells with a diffuse infiltrative growth pattern and an adipose component (4). It is difficult to distinguish lipofibromatosis from lipofibromatosis-like neural tumour histopathologically. Detection of LMNA-NTRK1 fusion transcripts and pan-TRK expression are useful to confirm a diagnosis.
Since a diagnosis of infantile soft tissue tumour is often difficult, careful assessment of clinical course, histopathological features, immunohistochemistry and molecular analysis is needed. The lipofibromatosis-like histological pattern with a detection of the rearranged NTRK1 gene is especially important for the diagnosis of lipofibromatosis-like neural tumour. Recently, infantile soft tissue sarcomas with LMNA-NTRK1 fusion transcripts have been reported (5–8). NTRK1-assosciated mesenchymal tumours show a variety of histological subtypes (9, 10). The classification of those tumours is still controversial. Since lipofibromatosis-like neural tumour is considered to be a locally aggressive tumour (1, 11), careful follow-up is required.
Table I. Clinicopathological differential diagnoses of the present case
