1Pulmonary Medicine Unit, Hôpital Larrey, Centre Hospitalier Universitaire Toulouse, Université de Toulouse III, Toulouse, France, 2Department of Dermatology, Henry Ford Hospital Detroit, Michigan, USA, 3Department of Pathology, Institut Universitaire du Cancer, Toulouse Oncopole, Centre Hospitalier Universitaire de Toulouse, 4Department of Medical Oncology, Institut Claudius Regaud, Institut Universitaire du Cancer, Toulouse Oncopole, Toulouse, France, 5Dermatology Service, Memorial Sloan Kettering Cancer Center New York, NY, USA, and 6Departments of Oncodermatology and Clinical Research, Institut Claudius Regaud, Institut Universitaire du Cancer, Toulouse Oncopole, 1 rue Irene Joliot-Curie, FR-31059 Toulouse cedex, France. *E-mail: sibaud.vincent@iuct-oncopole.fr
Accepted Nov 8, 2016; Epub ahead of print Nov 9, 2016
Dermatological toxicities represent the most frequent immune-related adverse events (irAEs) induced by immune checkpoint inhibitors (1, 2). Safety profiles for anti-CTLA-4 inhibitors (ipilimumab) and agents targeting the programmed cell death (PD-1) receptor (nivolumab, pembrolizumab) appear to be very similar, yet a lower frequency is observed with the latter (2). A non-specific maculopapular rash represents the most frequent cutaneous toxicity of anti-PD-1 inhibitors, with a calculated all-grade incidence of 14.3% and 16.7% for nivolumab and pembrolizumab, respectively (3). These lesions mostly remain mild/moderate, self-limiting, and manageable with topical and/or oral steroids. Other dermatological complications can also occur, including pruritus, xerosis, alopecia, mucosal involvement, autoimmune disorders and vitiligo, the latter being exclusively described in patients treated for melanoma (1–3). More recently, additional skin adverse events have been described, including lichenoid reactions, blistering disorders or occurrence and exacerbation of psoriasis (1–4). We report here 6 patients who developed a mid-facial rash suggestive of papulopustular rosacea, triggered or exacerbated by nivolumab therapy, which has not been reported so far in association with anti-PD-1 therapy.
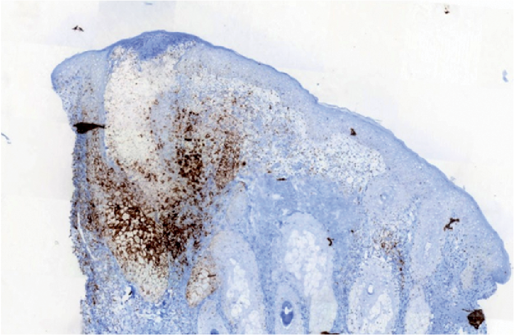
All patients (5 men, 1 woman) were treated for different types of metastatic solid cancers (Table I). Lesions occurred after 1–19 cycles of nivolumab therapy (3 mg/kg every 2 weeks). They were mostly localized on the medial part of the face, with a characteristic combination of papules and pustules on an underlying erythema, consistent with papulopustular rosacea. Symptoms were of mild intensity in all cases (grade 1 papulopustular rash) (Fig. 1a) except for one patient, who presented with an intolerable grade 2 toxicity (Fig. 1b). Lesions were easily managed with symptomatic treatment (topical metrodinazole and/or oral doxycycline), leading to a significant improvement in all cases. Nivolumab therapy was delayed in one patient and resumed after one cycle. Cutaneous biopsy was performed on the patient with grade 2 toxicity, which demonstrated characteristic histopathological features of papulopustular rosacea, with a predominant perivascular and perifollicular CD3+ T-cell infiltrate, associated with small and superficial dilated blood vessels. In addition, PD-L1 immunostaining revealed a strong positivity in the perifollicular infiltrate cells (60%) (Fig. 2). Close examination of the patients’ history suggested pre-existing erythematotelangiectatic rosacea in 3 patients.
Table I. Clinical description of reported patients
Fig. 1. Clinical examples of nivolumab-induced rosacea. (a) Grade 1 papulopustular rosacea in case 2 and (b) intolerable grade 2 papulopustular rosacea in case 4 induced by nivolumab therapy.
Fig. 2. PD-L1 immunostaining individualizing a strong positivity in the lympho-histiocytic infiltrate, associated with exocytosis into the pilosebaceous follicle (×50 magnification Ventana Ultraview DAB Detection Kit; Antigen retrieval was a standard automated process on the Ventana BenchMark XT clone SP142, Spring Bioscience, Pleasanton, CA, USA).
Development or exacerbation of papulopustular rosacea with anti-PD-1 therapy has not been described previously. We cannot, however, rule out the possibility that this event is under-reported during its development because of unperformed complete skin examination by investigators. Moreover, acneiform rash has been infrequently reported with anti-PD-1 agents, but only by non-dermatologist investigators (5). This so-called “acneiform” rash could potentially correspond, at least in part, to a papulopustular rosacea. The pathophysiology of rosacea remains poorly understood, involving complex dysregulation of the innate immune, vascular and nervous systems (6). However, it has been postulated that the adaptive immune system, involving CD4+ Th1/Th17 cell activities, plays a significant role in the development of all subtypes of rosacea (6, 7). In addition, it has been demonstrated that blockade of the PD-1 receptor may promote Th1/Th17 pathways (8). We therefore can speculate that anti-PD-1 monoclonal antibodies may favour the development of either psoriasis (4) or rosacea in predisposed patients. Clinicians should be aware of this new dermatological adverse event, which remains, in our experience, self-limiting, but may lead to temporary interruption. Early recognition and appropriate management also appear crucial to prevent a negative impact on patients’ quality of life.
Conflicts of interest: VS has a speaking, consultant or advisory role with Roche, GlaxoSmithKline, Pierre Fabre, Merck, Bristol-Myers Squibb, Bayer and Boehringer Ingelheim. MEL receives research support from Roche/Genentech, Berg, the NIH/NCI Cancer Center Support Grant P20 CA008748; consulting fees from Boehringer Ingelheim, Galderma, Amgen, Roche/Genentech. JM has a speaking, consultant or advisory role with Roche, Bristol-Myers Squibb, PUMA, Pfizer, Novartis, Astra Zeneca and Boehringer Ingelheim. EB, ET, CC and AZ declare no conflicts of interest.
